Стоимость отбеливания зубов в Казахстане
Содержание:
- Современные методы отбеливания зубов и их особенности в Алматы
- Из чего складывается стоимость отбеливания зубов в Алматы: основные факторы
- Сравнение с эстетическими реставрациями
- Цены на профессиональное отбеливание зубов в Казахстане: диапазон и примеры
- Как выбрать клинику для отбеливания зубов и избежать распространённых ошибок
- Итоги: что важно знать о стоимости отбеливания зубов в Алматы
В последние годы жители Казахстана всё чаще обращают внимание на эстетику улыбки и здоровье полости рта. Особенно велик интерес к профессиональному отбеливанию зубов – современной процедуре, позволяющей получить белоснежную улыбку за минимальное время. Акцент на естественную красоту и уверенность в себе стал одним из важнейших трендов, а повышенный спрос поддерживают качественные услуги стоматологов и доступность инновационных методик. Среди пациентов заметно растёт осведомлённость о различных технологиях и материалах, что способствует более взвешенному выбору подходящей клиники. Для жителей южной столицы актуальным становится вопрос, сколько стоит отбеливание зубов, как формируется стоимость и на что обратить внимание при подборе специалиста. Выбирая подходящие стоматологии в Алматы от компании Benefakta Dental пациенты учитывают не только цену, но и качество предоставляемых услуг, опыт врачей, прозрачность процессов и гарантии результата. Важно понимать, какие виды профессионального отбеливания доступны, как они отличаются по эффективности и долговечности, а также какие дополнительные услуги могут понадобиться для комплексного ухода за улыбкой.
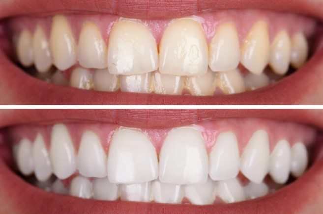
Современные методы отбеливания зубов и их особенности в Алматы
В Алматы стоматологические клиники внедряют передовые технологии отбеливания, предоставляя пациентам широкий спектр индивидуальных решений. Традиционно профессиональное отбеливание делится на офисное, домашнее и комбинированное. Первый вариант осуществляется непосредственно в стоматологическом кабинете, второй – подразумевает применение кап и гелей в домашних условиях, третий объединяет преимущества обоих методов.
Офисное отбеливание базируется на использовании высококонцентрированных отбеливающих гелей, активация которых производится с помощью лазера, ультрафиолетовой или LED-лампы. Популярность получили фотоотбеливание и лазерные методы, отличающиеся минимальной травматичностью и высокой эффективностью даже при выраженных потемнениях эмали. Процедура занимает в среднем 1-1,5 часа, а результат заметен сразу после сеанса. Пациенты ценят офисное отбеливание за выраженный визуальный эффект и возможность получить консультацию специалиста по уходу за отбеленными зубами.
Домашнее отбеливание – альтернатива для тех, кто предпочитает проводить процедуру самостоятельно. Врач-стоматолог изготавливает индивидуальные капы по слепкам зубов и подбирает профессиональные гели для постепенного осветления эмали. Такой способ требует большей продолжительности – обычно 7-14 дней, однако обеспечивает деликатное воздействие и сниженную чувствительность зубов.
Комбинированные методики соединяют преимущества клинического и домашнего отбеливания, обеспечивая стабильность результата и контролируемое осветление. Сначала проводится офисное отбеливание для получения первичного эффекта, затем пациент закрепляет результат дома с помощью индивидуальных кап.
Для жителей Алматы существенное значение имеют опыт специалистов, используемые материалы, наличие современных ламп и средств для реминерализации эмали. Качественная консультация врача-стоматолога позволяет выбрать оптимальную методику, соответствующую состоянию зубов, индивидуальной переносимости и эстетическим ожиданиям.
Кроме классических процедур, clinics предлагают инновационные решения: отбеливание системой Zoom, Beyond, Opalescence. Их отличает высокая биосовместимость, минимальный риск повреждения эмали, быстрое достижение результата. Важно, что в каждом случае специалист оценивает состояние ротовой полости, выявляет противопоказания, разрабатывает индивидуальный план отбеливания.
Процедуры в стоматологиях Алматы сопровождаются профессиональной профилактикой: снятие налёта и зубного камня, полировка, рекомендации по правильному уходу за зубами после осветления. Это гарантирует сохранение полученного эффекта и минимизирует риски возникновения чувствительности или дискомфорта.
Из чего складывается стоимость отбеливания зубов в Алматы: основные факторы
Формирование конечной цены на отбеливание в Алматы зависит от ряда объективных факторов. В первую очередь, имеет значение выбранная методика. Офисное отбеливание обычно стоит дороже за счёт применения сложного оборудования и дорогостоящих препаратов, однако обеспечивает максимально быстрый и заметный эффект. Домашнее отбеливание демонстрирует меньшую стоимость, но требует большей самостоятельности и дисциплины со стороны пациента.
Стоит учитывать и квалификацию специалистов: работа опытных врачей с профильным образованием и стажем выше средней стоимости, что отражается на конечном результате и уровне безопасности процедуры. Репутация клиники, отзывы пациентов, наличие международных сертификатов, современная технологическая база – все эти аспекты оказывают влияние на ценообразование.
Существенную часть стоимости составляет диагностика: первичный осмотр, оценка состояния эмали, выявление противопоказаний, индивидуальное моделирование цвета. Перед началом отбеливания в большинстве случаев рекомендуется провести профессиональную гигиену полости рта, убрать налёт и зубной камень – эта услуга оплачивается отдельно и впоследствии позволяет продлить срок службы отбеливающего эффекта. Некоторые клиники предлагают комплексные пакеты, где гигиена включена в стоимость отбеливания.
Разновидность используемых препаратов также влияет на ценообразование. Современные проверенные бренды отбеливающих гелей позволяют снизить риск повреждения эмали, обеспечить безопасное и прогнозируемое осветление. Высокая стоимость материалов оправдана стабильностью результата и отсутствием побочных эффектов. В то же время, выбор менее дорогих средств может привести к временным или неравномерным изменениям цвета.
Не стоит забывать и о наличии дополнительных услуг, таких как реминерализующая терапия для укрепления эмали, нанесение защитных лаков, плановое наблюдение у стоматолога после процедуры. Каждый из этих пунктов может быть отдельной статьёй расходов и учитываться при формировании итогового прайс-листа.
Локация клиники и уровень сервиса тоже играют свою роль. Стоматологические центры в центральных районах Алматы предоставляют расширенный спектр услуг, гарантируя высокий уровень безопасности, стерильности и комфорта для пациентов. Такая инфраструктура зачастую подразумевает увеличение стоимости процедур, однако обеспечивает дополнительную уверенность в благополучном исходе отбеливания.
Показательно, что инвестиции в профессиональное отбеливание способствуют не только улучшению внешности, но и укреплению самооценки, позитивному восприятию себя и формированию успешного имиджа.
Сравнение с эстетическими реставрациями
Многие пациенты рассматривают альтернативные способы коррекции цвета улыбки, сравнивая отбеливание с установкой виниров. Такой выбор особенно актуален при выраженных изменениях оттенка или наличии стойких дефектов эмали. На сайте компании Benefakta Dental виниры цена даёт возможность оценить разницу между этими направлениями эстетической стоматологии и подобрать оптимальное решение в зависимости от индивидуальных потребностей и бюджета.
Эстетические реставрации позволяют не только осветлить зубы, но и изменить их форму, длину или устранить сколы. Однако важно помнить, что виниры требуют препарирования эмали и являют собой более радикальное вмешательство по сравнению с отбеливанием. Окончательное решение принимается после детальной консультации с врачом, учитывающей исходное состояние зубов и желаемый результат.

Цены на профессиональное отбеливание зубов в Казахстане: диапазон и примеры
Вопрос стоимости процедуры отбеливания вызывает немало интереса у жителей Казахстана. На практике цены могут существенно варьироваться в зависимости от методики, уровня клиники, города и дополнительных услуг. Профессиональное отбеливание в стоматологических центрах Алматы, как правило, дороже, чем в небольших городах, что объясняется концентрацией специалистов высокой квалификации и наличием современного оборудования.
Средняя цена на офисное отбеливание варьируется от 40 000 до 120 000 тенге за процедуру. Это включает использование сертифицированных препаратов, работу опытного персонала, а также консультацию по последующему уходу. В ситуациях, когда требуется более глубокое воздействие или коррекция запущенных изменений цвета, итоговая стоимость может увеличиться за счёт применения дополнительных материалов или повторных сеансов.
Домашнее отбеливание обычно обходится дешевле, стоимость комплекта кап с профессиональным гелем начинается от 25 000-60 000 тенге. Здесь многое зависит от бренда препаратов и необходимости индивидуального изготовления кап. Комбинированные методы обойдутся дороже, однако обеспечивают пролонгированный эффект и контроль со стороны стоматолога.
Для достижения оптимального результата может потребоваться комплексная профессиональная гигиена, цены на которую составляют 10 000-25 000 тенге в зависимости от клиники. Некоторые центры практикуют акционные предложения, включающие скидки на гигиену при оформлении процедуры отбеливания.
Особенности ценообразования:
- Включена ли в стоимость консультация и профессиональная чистка;
- Применение современных систем отбеливания (Zoom, Beyond, Opalescence);
- Квалификация и опыт специалистов;
- Географическое расположение клиники;
- Необходимость последующего наблюдения и дополнительных процедур;
- Использование индивидуальных материалов (например, изготовление персональных кап).
Уточнить стоимость можно напрямую у специалистов, ознакомившись с разделом сколько стоит отбеливание зубов в казахстане компании Benefakta Dental. Здесь представлена актуальная информация по методикам, ценам и возможным вариантам комбинированного лечения.
Рассмотрим, из чего обычно состоит услуга отбеливания:
- Консультация стоматолога по выбору методики;
- Предварительная профессиональная гигиена;
- Проведение самой процедуры (офисное или домашнее отбеливание);
- Реминерализующая терапия (по необходимости);
- Постпроцедурное наблюдение;
- Рекомендации по уходу и профилактике.
Пациенты, заботящиеся о здоровье и внешнем виде своей улыбки, заранее оценивают не только ценовой аспект, но и предлагаемые гарантии, качество материалов, прозрачность работы клиники.
Как выбрать клинику для отбеливания зубов и избежать распространённых ошибок

Выбор стоматологической клиники для отбеливания зубов – ответственное решение, напрямую влияющее на безопасность и долговечность результата. Перед обращением важно тщательно ознакомиться с репутацией учреждения, уровнем подготовки специалистов и спектром предоставляемых услуг.
Рекомендуется изучить отзывы реальных пациентов, особое внимание уделяя опыту прохождения самой процедуры и её итогам. Прозрачная работа клиники, наличие портфолио с фотографиями «до» и «после», современные лицензии и сертификаты – важнейшие критерии при выборе. Надёжные стоматологические центры работают строго по протоколам, документально фиксируют ход процедуры и предоставляют рекомендации по уходу за зубами после отбеливания.
Значимым является уровень сервиса и оснащение. Современное оборудование, передовые системы для осветления эмали, отдельные кабинеты для гигиены и эстетических процедур заслуживают доверия. Крупные клиники проводят обязательную диагностику: компьютерный анализ, оценку состояния десен и твёрдых тканей. Это позволяет исключить противопоказания и индивидуально подобрать подходящую технологию.
Перед процедурой стоматолог обязан провести тщательный осмотр, выявить кариозные поражения, деструкции или трещины эмали, предложить необходимые предварительные мероприятия. Откажитесь от услуг, где общая диагностика отсутствует или ограничивается устным опросом: это может привести к осложнениям или неполному отбеливанию.
Отдельного внимания заслуживает прозрачность ценообразования: все детали должны быть прописаны в договоре, отсутствовать скрытые платежи или навязывание дополнительных услуг. Клинику стоит выбирать ту, где расписан полный спектр процедур, предоставляется подробная консультация по дальнейшему уходу за отбеленными зубами.
Профессиональный подход – залог долговечного и безопасного результата. Особое внимание также следует уделить условиям стерильности, санитарным нормам и гарантии качества используемых материалов. В приоритете должны оставаться только современные, проверенные средства, не наносящие вред здоровью.
Итоги: что важно знать о стоимости отбеливания зубов в Алматы
Для жителей Алматы стоимость профессионального отбеливания зубов формируется с учётом используемой методики, квалификации специалистов, уровня клиники и спектра дополнительных услуг. Современные стоматологические центры предлагают большой выбор решений – от офисных и домашних до комбинированных технологий. Эффективность и безопасность процедуры напрямую связаны с опытом врачей, качеством материалов и прозрачностью ценообразования. Компетентный выбор клиники с проверенной репутацией позволяет получить белоснежную улыбку без риска и лишних трат, а также обеспечивает индивидуальный подход и устойчивый результат.